The Value of the CBCT at York Hill Endodontics
Often we become introduced to new technology. Within a short period of time, we wonder how we survived without it, whether it’s the cell phone, the internet, or more specific to our dental specialty, CBCT.
Recently, an interesting case occurred at York Hill Endodontics. A young, healthy 27-year-old male stated his chief complaint.
“I feel like there is a tooth behind my upper front tooth?”
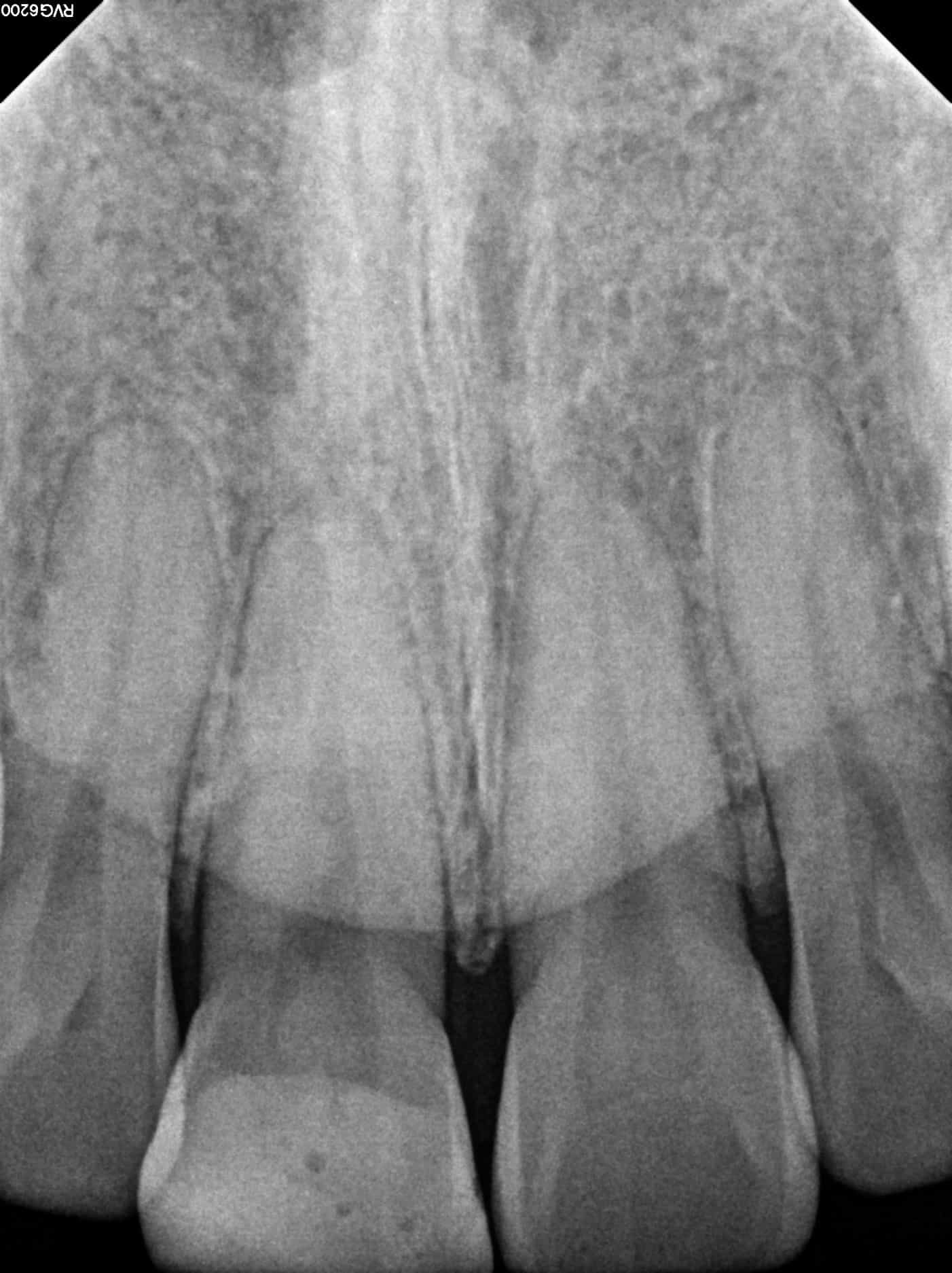
We first took a periapical radiograph, and there was no evidence of either periapical pathology or fracture. Pulp testing revealed normal responses from all the upper anterior teeth. In addition, no tenderness to either palpation or percussion was elicited. In other words, everything appeared normal both clinically and radiographically.
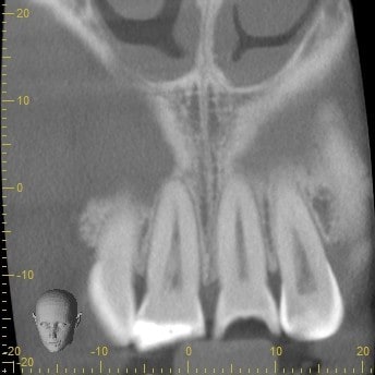
Lastly, I decided to take a CBCT to rule out any abnormality. To my surprise, a portion of the tooth had fractured off and become dislodged lingual to the tooth. Fortunately, the segment was removed easily and the patient’s symptoms resolved immediately.
The ability to take a CBCT and have it as part of our arsenal for diagnostic procedures is sometimes not readily appreciated. In this case, it was only through the CBCT that we could diagnose the cause of his symptoms and thereby treat the patient quickly.
Author: Dr. George E. Sas



